Virtual Consult | Braces by Abbadent - Affordable Braces In Dubuque, IA
14918
wp-singular,page-template,page-template-full_width,page-template-full_width-php,page,page-id-14918,wp-theme-bridge,wp-child-theme-bridge-child,bridge-core-3.3.1,qode-page-transition-enabled,ajax_fade,page_not_loaded,,side_area_uncovered_from_content,qode-child-theme-ver-1.0.0,qode-theme-ver-30.8.1,qode-theme-bridge,qode_header_in_grid,wpb-js-composer js-comp-ver-8.7.2,vc_responsive
 

Virtual Consult

Start by taking your photos

All photos should be taken sitting in a seated position. You will need a friend or family member to serve as your photographer as it’s difficult to try and take each of the photos below by yourself.

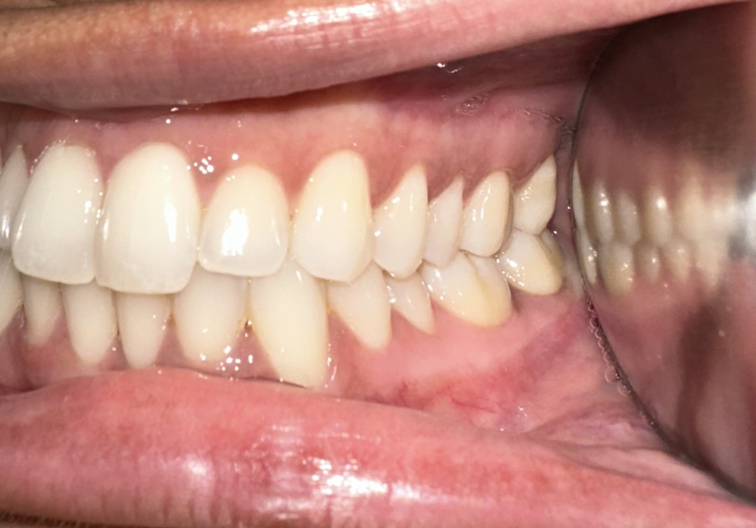
right mouth virtual consult photo

Photo 1 Right Smile

Using spoons, relax left side and pull tighter on right side. Try to show teeth from the right (biting down on back teeth)

left mouth virtual consult photo

Photo 2 Left Smile

Now the same on the left side.

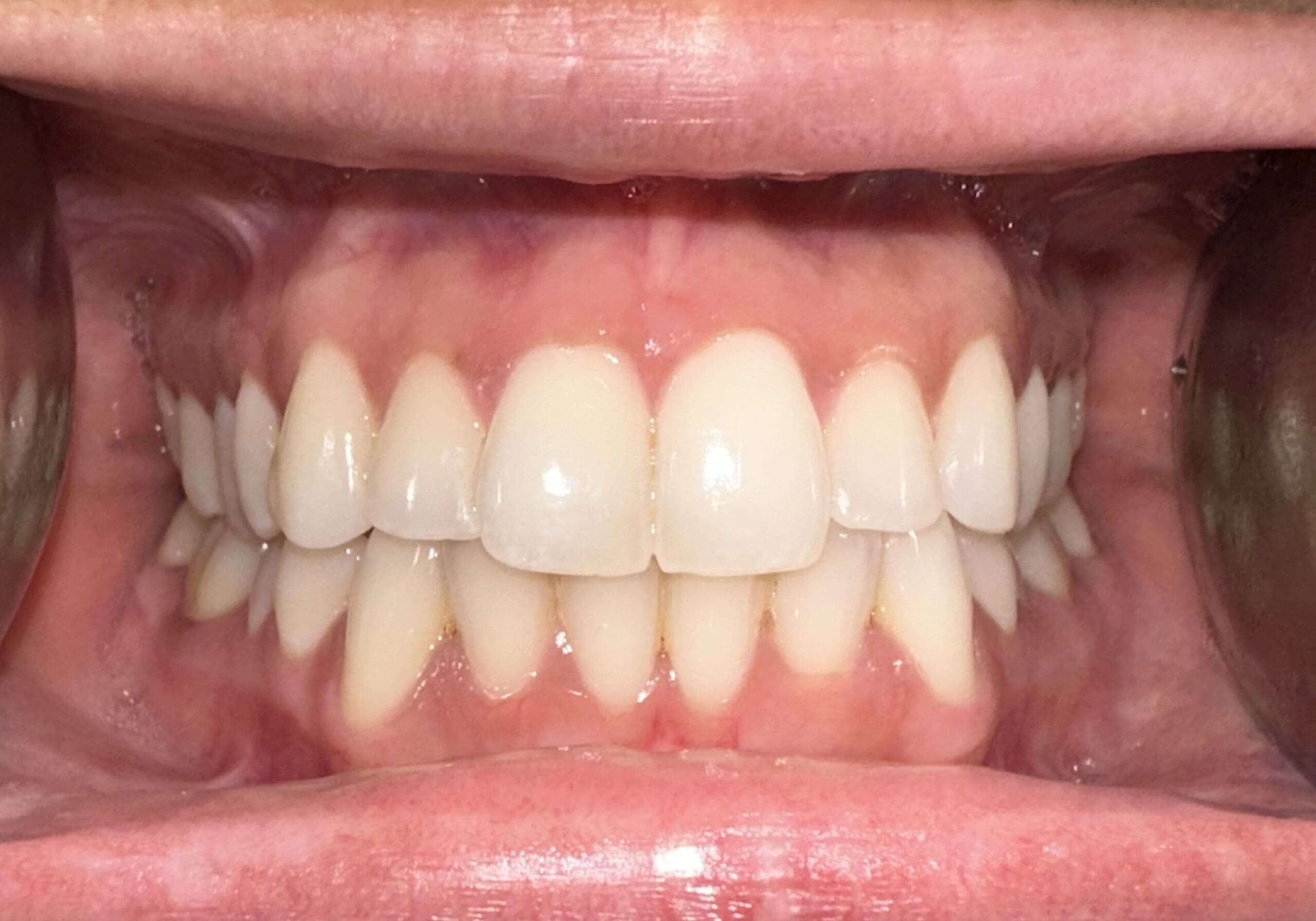
virtual orthodontic consult center

Photo 3 Front Smile

Finally, use the spoons to retract your cheeks and bite down on back teeth

Now you are ready for your virtual consult!

Text your photos to (708)575-0088. We can’t wait to be a part of your SMILE journey!

    Book your Vasu Smiles Appointment today!

    Your Best Smile Starts Here.